85岁老人枣核卡喉 我院耳鼻喉科成功救治
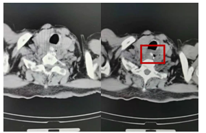
昨日一位85岁高龄老人就诊于耳鼻喉科,老人身体有些虚弱,面色不佳,就诊前4天因吃红枣时不慎误吞了枣核,疼痛不适,不能吞咽。

听闻患者的情况后,北京中医医院顺义医院耳鼻喉科徐景利主任考虑到如继续拖延,则可能导致食管局部脓肿破入纵膈导致纵膈脓肿、脓胸、化脓性心包炎、大血管破溃等严重后果。在排查完新冠相关检查后,立即将患者收治入院,并交代注意事项。
入院后,完善术前检查后,评估老人身体情况,于今日在北大人民医院张立红主任的指导下,麻醉科医生、手术室护士的配合下,科内人员协同下,徐景利主任主刀,顺利完成了我院首例全麻下食管镜下食道异物取出术,术后,患者咽喉部梗阻感、疼痛感、压榨感消失,呼吸平稳,吞咽功能恢复。患者脸上洋溢着笑容,家属连声表示感谢,是对医院服务品质的认可,也是对医务人员工作的充分肯定。

随着食管镜下食道异物取出术的开展,这是治疗上的一小步,但标志着耳鼻喉科急诊应急能力的提高,为百姓就医带来了便利。北京中医医院顺义医院耳鼻喉科全体医护人员将不断提高自身医疗技术水平,拓展新技术,用娴熟的技术减轻患者的病痛,用真情与微笑温暖患者的身心。


