4月1日,患者梁先生的家属将一面写着“专家护士暖心,战疫怀柔之福”的锦旗送到了脑病二区,以表达家属对脑病二区全体医护人员的感激之情。

今年2月底,正是新冠疫情最严峻的时期,64岁的患者老梁突然出现了左侧肢体活动不利的症状,并伴有肺部感染的表现。经我院新冠肺炎疫情防控专家组严格排查,在排除了新冠肺炎的情况下,以初步诊断“脑梗死”收入脑病二区。入院后,患者症状呈现进行性加重,先后出现了高热、昏迷、呼吸困难等危重表现,科室副主任董致郅考虑患者可能为脑干病变,不除外为感染中毒性脑病。为进一步明确诊断,他请来脑病科主任齐锡友一同到病房查看患者,齐主任也考虑患者感染中毒性脑病可能性极大,建议在积极应用无创呼吸机辅助通气、维持内环境稳定、抗感染以及中药醒脑开窍等中西医结合治疗的基础上,以最快速度完成头颅核磁检查以明确诊断。当天核磁提示患者延髓、右侧脑桥弥漫性病变,这一结果印证了两位主任最初的判断即脑干脑炎。面对这么年轻又危重疑难的患者,董主任和齐主任商议后建议家属转院治疗,但家属说:我们就相信怀柔中医院,相信你们医生护士,你们就尽最大努力治疗就行了。
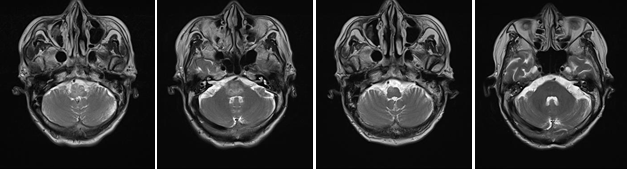
有了家属的这份信任,脑二病区全体医护人员便承担起了全部诊疗重任。考虑患者虽然诊断得的是脑干脑炎,但感染的具体原因还不清楚,是病毒性?细菌性?还是自身免疫性?此时,恰逢新冠疫情期间脑脊液标本不能外送检查,董致郅副主任就查阅文献,完善腰椎穿刺检查、给患者制定详细的中西医结合治疗及护理方案,同时应用抗病毒药物和激素治疗,并加用了脑保护和营养神经药物,根据患者症、舌、脉的变化,先后予醒脑开窍、益气养阴、补益中气等中药汤剂,并及早行针灸治疗。这期间患者先后出现了高热不退、呼吸衰竭、心力衰竭、急性肺水肿、重度低蛋白血症、电解质紊乱等一系列非常严重的并发症,但经过全科人员的共同努力,相继给予呼吸支持、营养支持、脱水降颅压、利尿消肿等措施,患者病情逐渐趋于稳定,神志逐渐转清,经过一个月救治,患者除左侧肢体活动欠利外,其余症状已基本治愈,复查头颅核磁显示桥脑、延髓异常信号已基本消失,复查腰穿脑脊液也未见明显异常。现患者已转入康复科行进一步肢体康复治疗。

治疗前 治疗后
此例重症脑干脑炎患者的成功救治,与家属的信任与支持,科室全体医护人员的共同努力是分不开的,它彰显了中西医结合治疗的优势,中药在改善患者内环境,及早撤离呼吸机方面发挥了不可替代的作用。
“专家护士暖心,战疫怀柔之福”这句话是患者及家属对医护人员最好的鼓励。在新冠肺炎疫情防控的特殊时期,这种鼓励如寒冬中的一股暖流,极大温暖了全体医护人员。今后脑二病区全体医护人员将继续“不忘初心、牢记使命”,努力提高诊疗水平,为怀柔区百姓提供更加暖心优质的服务,为人民群众的健康继续做好保驾护航工作。


